
ホノルルホワイトニング京橋店
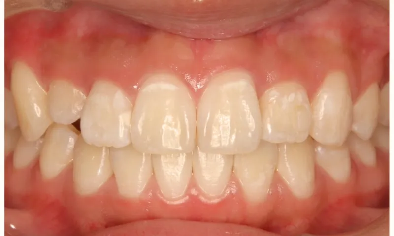
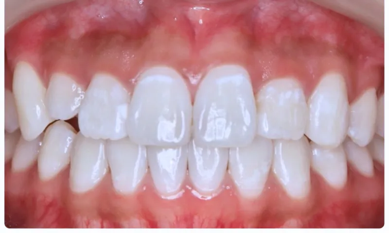
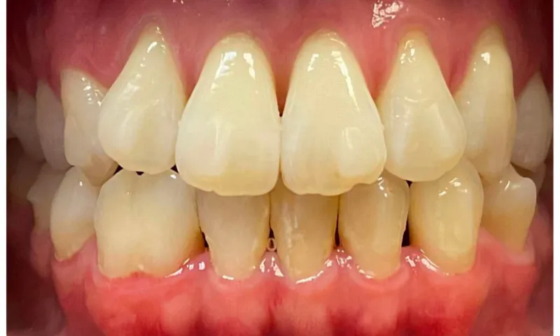
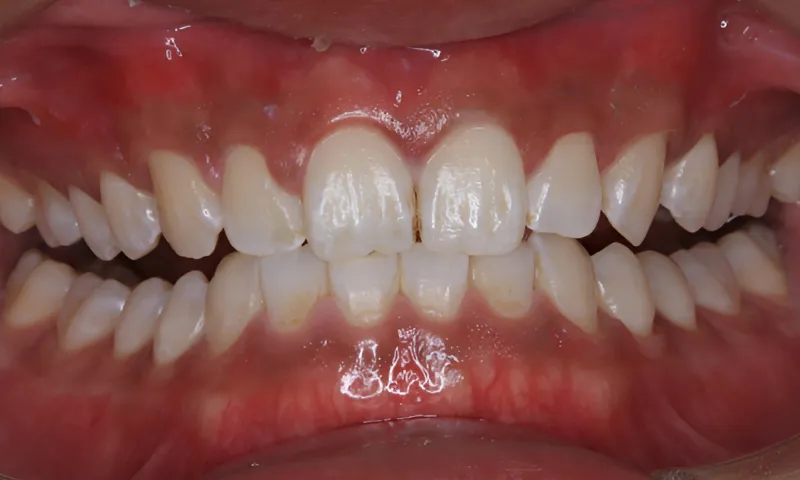
ホノルルホワイトニング京橋店は、ハワイ発、ハワイの歯科衛生士が監修した歯科で行うオフィスホワイトニング級のセルフホワイトニングを提供する大阪・京橋の専門サロンです。痛みやしみが少なく、施術後すぐ飲食できる安心のホワイトニング。完全個室のプライベート空間でリラックスしながら初回から効果を実感。セルフホワイトニングを大阪・京橋でお探しならホノルルホワイトニング京橋店へ。
ホワイトニング効果はどれくらい持つ?持続期間と長持ちさせる秘訣
「ホワイトニングをして歯が白くなったけれど、この効果はどのくらい続くのだろう」と感じる方は多いです。ホワイトニングの白さは永続するわけではありませんが、適切なケアと生活習慣によって持続期間を伸ばすこと…
タバコのヤニは取れる?ホワイトニングでできること・できないこと
「タバコのヤニで歯が黄ばんできた」「人前で笑うのが恥ずかしい」——喫煙者の多くが感じる悩みです。ヤニの正体や落ちにくさ、そしてホワイトニングでどこまで改善できるのかを徹底解説。京橋駅すぐのホノルルホワ…
口臭が気になる方へ|原因・セルフチェック・改善法を徹底解説
「人と話すときに口臭が気になる」「マスクを外すと自分の息が不安になる」…そんな経験はありませんか?口臭は誰にでも起こり得る現象ですが、放置すると人間関係やビジネスシーンに悪影響を及ぼすことも。本記事で…





-2-819x1024.webp)































